
Koksartroz, kalça eklemi osteoartriti olarak da bilinir ve kalça ekleminin kıkırdaklarının yıpranması ve dejenerasyonu sonucu ortaya çıkan bir tıbbi durumdur. Osteoartrit, eklem kıkırdağının zaman içinde aşınması ve hasar görmesi nedeniyle gelişir ve genellikle yaşlı yetişkinlerde daha yaygındır, ancak her yaşta kişiyi etkileyebilir.
Koksartrozun nedenleri ve özellikleri şunları içerebilir:
- Yaşlanma: Yaş ilerledikçe, kalça eklemi kıkırdağı yıpranır ve incelir, bu da osteoartrit riskini artırır.
- Genetik Faktörler: Aile geçmişi, osteoartrit gelişme riskini etkileyebilir.
- Aşırı Kullanım: Kalça eklemi aşırı kullanıldığında veya travmatik bir yaralanma sonucu hasar gördüğünde osteoartrit gelişebilir.
- Kötü Duruş ve Vücut Mekaniği: Kötü vücut mekaniği, kalça eklemine fazladan stres uygulayabilir ve bu da dejenerasyona yol açabilir.
- Obezite: Fazla kilolu olmak, eklem üzerine ekstra baskı uygular ve osteoartrit riskini artırabilir.
Koksartrozun belirtileri şunlar olabilir:
- Kalça ağrısı: En belirgin belirti, kalça eklemi bölgesindeki ağrıdır. Bu ağrı, hareket ettiğinizde veya eklemi yüklediğinizde artabilir.
- Hareket kısıtlılığı: Kalça eklemindeki ağrı nedeniyle hareket etmekte zorlanma veya sertlik hissi olabilir.
- Zorluğa yol açan ağrı: Kalça eklemindeki ağrı nedeniyle günlük aktivitelerinizi yapmakta zorlanabilirsiniz, özellikle merdiven çıkmak veya oturup kalkmak gibi aktivitelerde.
Koksartrozun tedavisi aşağıdaki gibi yöntemleri içerebilir:
- Fizik Tedavi: Kalça kaslarını güçlendirmek, hareket aralığını artırmak ve ağrıyı hafifletmek için fizik tedavi önerilebilir.
- İlaçlar: Ağrıyı ve iltihaplanmayı kontrol etmek için reçete edilen ilaçlar kullanılabilir.
- Yaşam Tarzı Değişiklikleri: Fazla kiloluysanız, kilo vermek, kalça eklemine binen stresi azaltabilir.
- Kullanımı Kolaylaştırıcı Cihazlar: Bastonlar veya yürüme yardımcıları gibi cihazlar, hareketi kolaylaştırabilir.
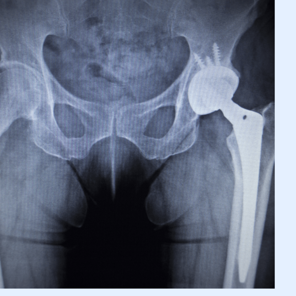
- Cerrahi Müdahale: Diğer tedavi yöntemleri etkili olmadığında veya kalça eklemi ciddi şekilde hasar gördüğünde, kalça eklemi protezi ameliyatı düşünülebilir.
Koksartrozun tedavisi hastanın semptomlarına, yaşına, sağlık durumuna ve hastalığın şiddetine bağlı olarak kişiselleştirilir. İyi bir tedavi planı, ağrının kontrol altına alınmasına ve yaşam kalitesinin iyileştirilmesine yardımcı olabilir.
Youtube videosunu izlemek için tıklayabilirsiniz.
Yorum bırakın